В Петропавловске мужчина случайно выстрелил себе гвоздем в шею

Житель Петропавловска случайно выстрелил себе в шею гвоздём из пневмопистолета во время ремонта, передает ИА «NewTimes.kz».

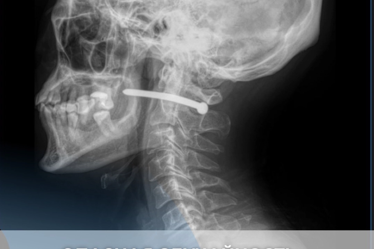
Фото: пресс-служба многопрофильной больницы Петропавловска
Фото: пресс-служба многопрофильной больницы Петропавловска

Как рассказали в многопрофильной городской больнице скорой медицинской помощи, 51-летний мужчина обратился с раной в заушной области.

Во время ремонтных работ он по неосторожности получил травму гвоздём из пневматического пистолета. После рентген-исследования выяснилось, что гвоздь прошёл рядом с шейным отделом позвоночника.

«Мужчине чудом повезло — жизненно важные структуры не были задеты. Челюстно-лицевыми хирургами проведено удаление инородного тела, ревизия и обработка раны. После наложения швов и стерильной повязки пациент с рекомендациями отпущен домой», — сообщили в больнице.

Врачи подчеркивают, травмы в области шеи крайне опасны — рядом проходят крупные сосуды, нервы, дыхательные пути и спинной мозг. Даже небольшое повреждение может привести к серьёзным последствиям.

Что думаете об этом?
Нравится 1
Мне все равно 3
Забавно 0
Сочувствую 1
Возмутительно 0