Врачи удалили шестой палец маленькой алматинке
В Алматы детские хирурги провели сложную операцию по удалению лишнего пальца у 10-летней девочки, страдавшей от врожденного дефекта — шестого пальца на левой ноге, передает ИА «NewTimes.kz» со ссылкой на городское управление общественного здравоохранения.
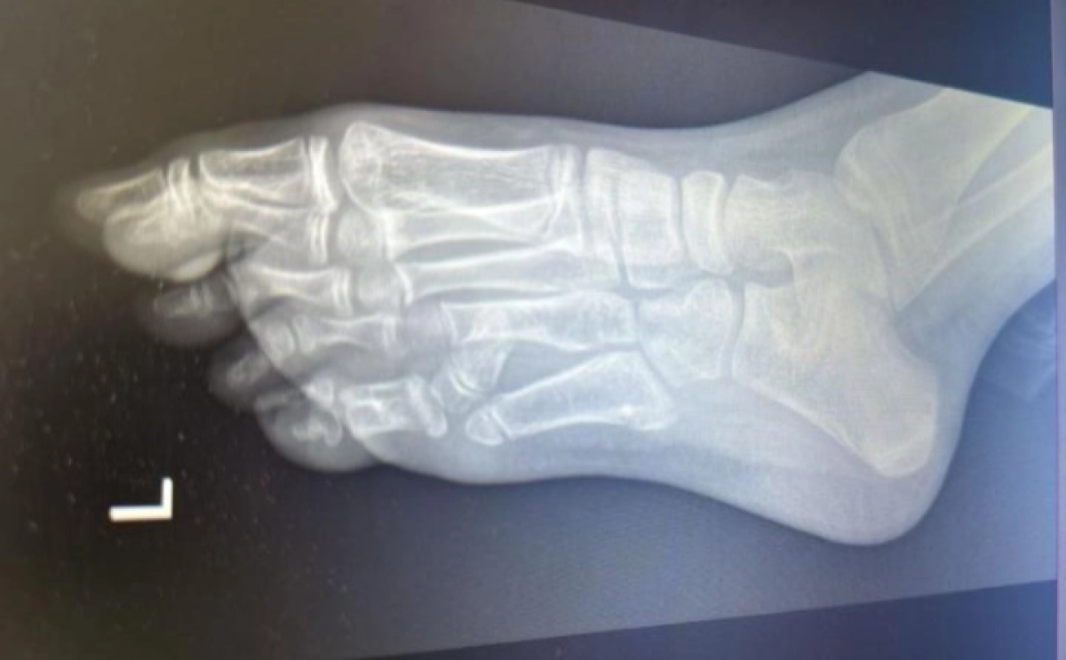
Этот дефект с раннего детства создавал множество проблем: девочке приходилось носить обувь разного размера, на левую ногу — на несколько размеров больше, чем на правую. Это не только вызывало дискомфорт и косметические неудобства, но и негативно сказывалось на ее самооценке, что могло привести к психологическим проблемам.

С возрастом ситуация осложнялась, так как подобрать подходящую обувь становилось все труднее. Родители долго не решались на операцию, но когда девочке исполнилось 10 лет, они обратились за помощью в детскую городскую клиническую больницу Алматы.
После ряда обследований врачи пришли к выводу, что хирургическое вмешательство необходимо для восстановления нормальной функции ноги и улучшения качества жизни ребенка. Операцию провели ведущие детские хирурги Казахстана и России.
«Это было сложное хирургическое вмешательство, которое наши травматологи-ортопеды провели совместно с коллегами из клиники высоких медицинских технологий имени Пирогова из Санкт-Петербурга. Главная сложность заключалась не только в удалении лишнего пальца, но и в дополнительной плюсневой кости, из-за которой стопа приобретала аномальную ширину. К тому же была обнаружена аномалия в расположении нервов и сосудов, что потребовало работы под микроскопом», — пояснил заведующий отделением травматологии Ерлан Садырбалин.
На данный момент ребенок проходит восстановление и, по прогнозам врачей, вскоре сможет вернуться к обычной жизни без необходимости скрывать свою ногу и испытывать стеснение.